Table of Contents
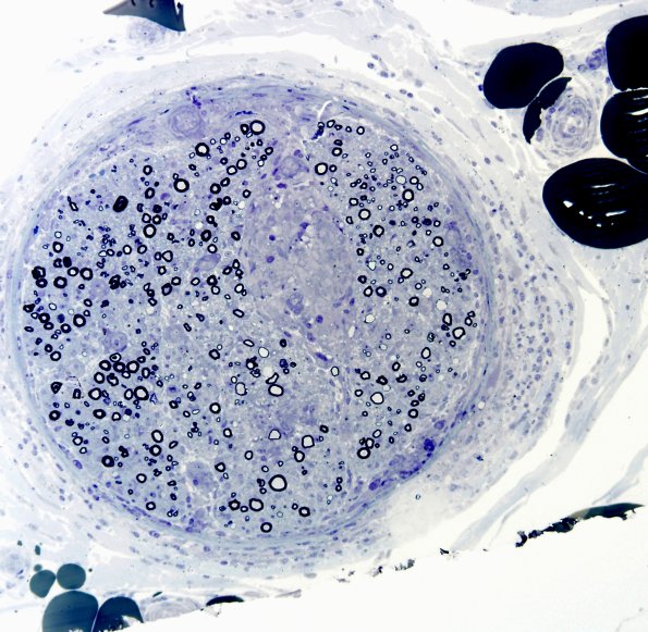
Washington University Experience | PERIPHERAL NEUROPATHY | 9A SARCOID | 5B1 Sarcoid (Case 5) Plastic 1
5B1-3 Plastic sections at successive increased magnifications show a fascicle with endoneurial granulomas. The axon loss and myelin thinning is more prominent in the margins of the granuloma. (Plastic sections)
