Table of Contents
Washington University Experience | PERIPHERAL NEUROPATHY | 9A SARCOID | 5B3 Sarcoid (Case 5) Plastic 3
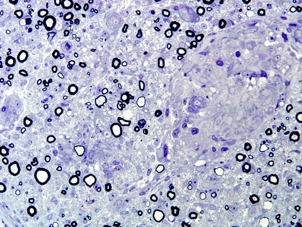
Plastic sections at successive increased magnifications show a fascicle with endoneurial granulomas. The axon loss and myelin thinning is more prominent in the margins of the granuloma. (Plastic sections)
