Table of Contents
Washington University Experience | PERIPHERAL NEUROPATHY | 9B PERINEURITIS & PERINEURIAL PATHOLOGY | 0A3 Perineurium, tight junction (Case 0) EM 005 - Copy copy
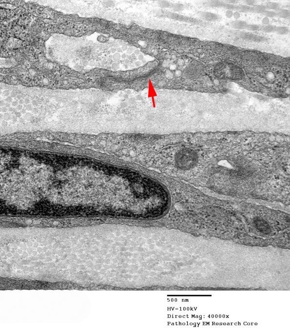
0A3 The basal lamina in some cases is discrete and osmiophilic and in others, as in this case, the plasmalemma is nestled in a gray condensate of material. Perineurial cells are joined by tight junctions (arrow). (electron micrographs)
