Table of Contents
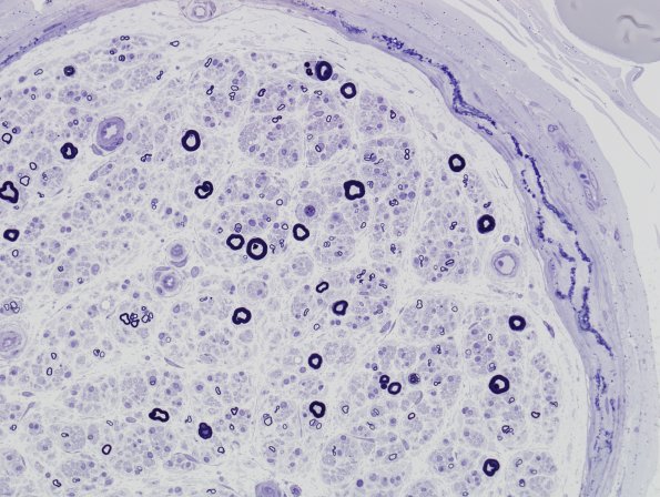
Washington University Experience | PERIPHERAL NEUROPATHY | 9B PERINEURITIS & PERINEURIAL PATHOLOGY | 10A2 Perineurial calcifications (Case 10) Plastic 2
This case shows perineurial calcifications as a nonspecific alteration accompanying severe neuropathy. (Plastic sections)
