Table of Contents
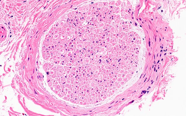
Washington University Experience | PERIPHERAL NEUROPATHY | 9B PERINEURITIS & PERINEURIAL PATHOLOGY | 11A3 Perineuritis & Vasculopathy (Case 11 H&E 40X 2
Various fascicles with perineurial hyperplasia and patchy inflammation. (H&E)
