Table of Contents
Washington University Experience | PERIPHERAL NEUROPATHY | 9B PERINEURITIS & PERINEURIAL PATHOLOGY | 11C1 Perineuritis & Vasculopathy (Case 11) Plastic 10X copy.jpg
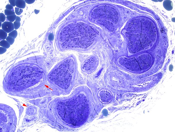
11C1 One micron-thick, toluidine blue stained sections show moderate loss of large and small myelinated axons, with significant inter- and intra-fascicular variability. The fascicle (arrow) is shown at higher magnification in 11C4,5 and the vessel (arrowhead) as 11C6,7,7A. (Plastic section)
