Table of Contents
Washington University Experience | PERIPHERAL NEUROPATHY | 9B PERINEURITIS & PERINEURIAL PATHOLOGY | 11C5 Perineuritis & Vasculopathy (Case 11) Plastic 5.jpg
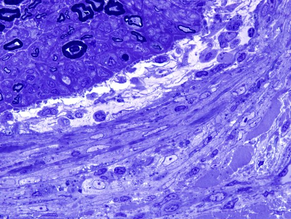
Higher magnification of the perineurium shown in image #11C1 (arrow).
