Table of Contents
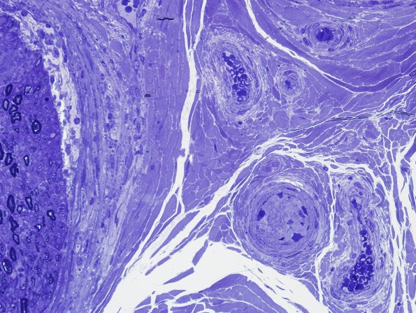
Washington University Experience | PERIPHERAL NEUROPATHY | 9B PERINEURITIS & PERINEURIAL PATHOLOGY | 11C6 Perineuritis & Vasculopathy (Case 11) Plastic 1.jpg
11C6,7 Although there is no evidence of angionecrosis, many vessels associated with the nerve appear abnormal. The epineurial vessel shown initially in 11A1 (arrowhead) is distended by a thrombus which appears to be organized. (Plastic sections)
