Table of Contents
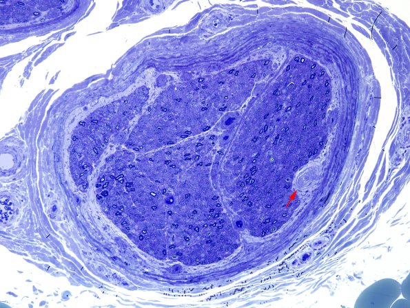
Washington University Experience | PERIPHERAL NEUROPATHY | 9B PERINEURITIS & PERINEURIAL PATHOLOGY | 11C8 Perineuritis & Vasculopathy (Case 11) Plastic 10 copy.jpg
11C8,9 Other endoneurial vessels show plump, reactive endothelial cells and in one case (arrow, 11C8) it appears to be occluded. (Plastic sections).
