Table of Contents
Washington University Experience | PERIPHERAL NEUROPATHY | 9B PERINEURITIS & PERINEURIAL PATHOLOGY | 11C9 Perineuritis & Vasculopathy (Case 11) Plastic 13.jpg
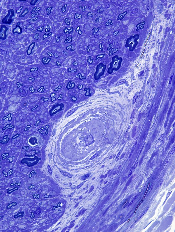
The occluded vessel is shown at higher magnification. (Plastic section)
