Table of Contents
Washington University Experience | PERIPHERAL NEUROPATHY | 9B PERINEURITIS & PERINEURIAL PATHOLOGY | 11D1 Perineurium, (Case 11) EM 018 - Copy
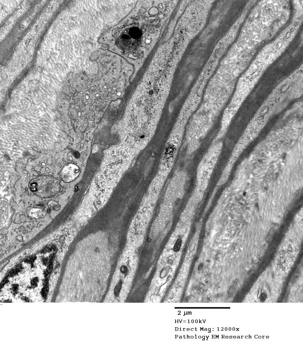
11D1-3 The surrounding perineurium appears hyperplastic with increased cytoplasm including increased numbers of mitochondria in perineurial processes(?). (electron micrographs)
