Table of Contents
Washington University Experience | PERIPHERAL NEUROPATHY | 9B PERINEURITIS & PERINEURIAL PATHOLOGY | 11D2 (Case 11) Nerve_012 - Copy
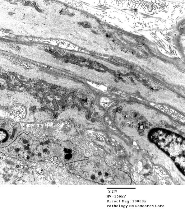
The surrounding perineurium appears hyperplastic with increased cytoplasm including increased numbers of mitochondria in perineurial processes(?). (electron micrographs)
