Table of Contents
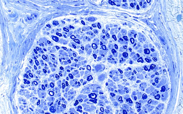
Washington University Experience | PERIPHERAL NEUROPATHY | 9B PERINEURITIS & PERINEURIAL PATHOLOGY | 12A1 Perineurium, papillary basal lamina (Case 12) Plastic 40X
Case 12 History ---- The patient is a 63 year old woman with progressive upper and lower extremity weakness with hypertonia, hyperreflexia, and evidence of demyelination on NCV. The clinical diagnosis was chronic inflammatory demyelinating polyradiculoneuropathy (CIDP). She failed CIDP treatment prompting a muscle biopsy to further evaluate for vasculitis. Operative procedure: Right vastus muscle and right sural nerve biopsy. ---- 12A1,2 Plastic sections show modest loss of small and large myelinated axons. The perineurium appears hyperplastic and papillary (arrow, 12A2)
