Table of Contents
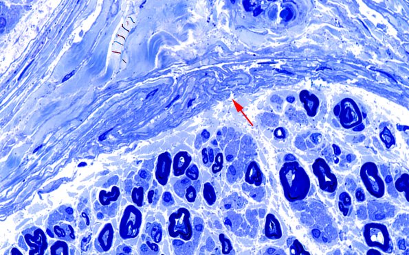
Washington University Experience | PERIPHERAL NEUROPATHY | 9B PERINEURITIS & PERINEURIAL PATHOLOGY | 12A2 Perineurium, papillary basal lamina (Case 12) Plastic 100X 3 copy
Plastic sections show modest loss of small and large myelinated axons. The perineurium appears hyperplastic and papillary (arrow)
