Table of Contents
Washington University Experience | PERIPHERAL NEUROPATHY | 9B PERINEURITIS & PERINEURIAL PATHOLOGY | 12B2 Perineurium, papillary basal lamina (Case 12) EM 037 - Copy
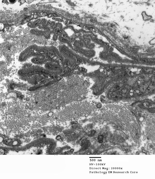
The perineurium in this case has an unusual papillary appearance with markedly thickened coating of delicate flocculent material which does not have the appearance of typical basal lamina and may be elaunin. (electron micrographs)
