Table of Contents
Washington University Experience | PERIPHERAL NEUROPATHY | 9B PERINEURITIS & PERINEURIAL PATHOLOGY | 13A3 (Case 13) Nerve_003 - Copy
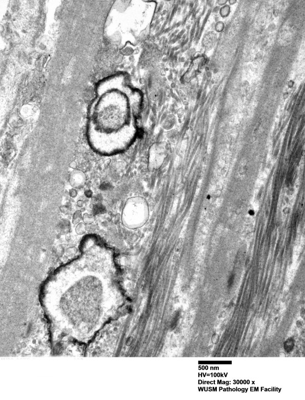
The perineurium shows numerous focal calcifications of unknown pathogenesis. (electron micrographs)
