Table of Contents
Washington University Experience | PERIPHERAL NEUROPATHY | 9B PERINEURITIS & PERINEURIAL PATHOLOGY | 1A1 Epineuritis & Perineuritis (Case 1) Immune checkpoint 4XA
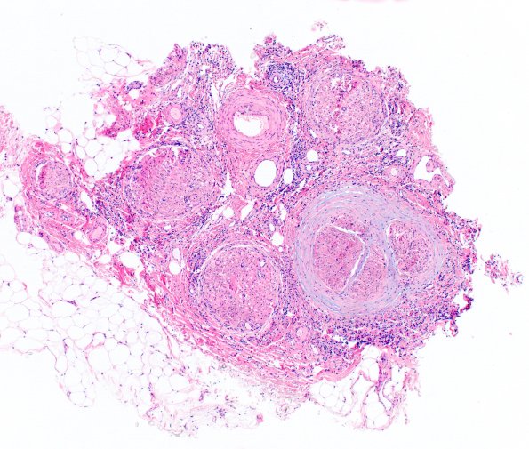
Case 1 History ---- The patient is a 50-year-old man with a history of metastatic melanoma status post combined ipilimumab and nivolumab adjuvant therapy who presented with progressive proximal greater than distal lower extremity weakness for 1 month, leading to admission in 11/2020. EMG revealed axonal sensory motor neuropathy. A paraneoplastic panel was negative. Operative procedure: Right sural nerve and gastrocnemius muscle biopsies. Electrodiagnostic testing showed an axonal polyneuropathy. ---- 1A1 This low magnification image shows uneven distribution of inflammation, perineurial fibrosis and some myxoid change within the perineurial sheath. (H&E)
