Table of Contents
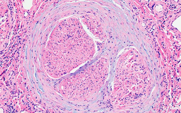
Washington University Experience | PERIPHERAL NEUROPATHY | 9B PERINEURITIS & PERINEURIAL PATHOLOGY | 1A3 Epineuritis & Perineuritis (Case 1) Immune checkpoint 20X 6
The perineurium shows conspicuous thickening of the walls with hyperplasia. Perivascular chronic inflammatory cell infiltrate rich in lymphocytes without angionecrosis or granuloma are noted. (H&E)
