Table of Contents
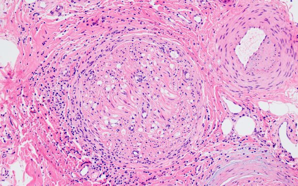
Washington University Experience | PERIPHERAL NEUROPATHY | 9B PERINEURITIS & PERINEURIAL PATHOLOGY | 1A5 Epineuritis & Perineuritis (Case 1) Immune checkpoint 20X
Occasional endoneurial blood vessels show plump endothelial cells with prominent nucleoli, consistent with focal reactive changes. (H&E)
