Table of Contents
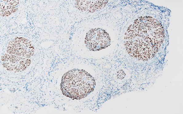
Washington University Experience | PERIPHERAL NEUROPATHY | 9B PERINEURITIS & PERINEURIAL PATHOLOGY | 1B1 Epineuritis & Perineuritis (Case 1) Immune checkpoint NF 10X
1B1,2 There appear to be mild loss of axons overall but particularly large diameter elements. (NF IHC)
