Table of Contents
Washington University Experience | PERIPHERAL NEUROPATHY | 9B PERINEURITIS & PERINEURIAL PATHOLOGY | 1C1 Epineuritis & Perineuritis (Case 1) Immune checkpoint VVG 1B
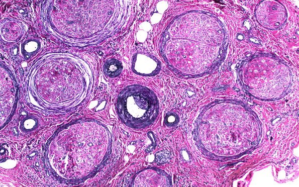
1C1,2 This elastin stain demonstrates expansion of the perineuria of multiple fascicles and does not show large vessel vasculitis.
