Table of Contents
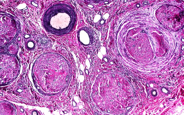
Washington University Experience | PERIPHERAL NEUROPATHY | 9B PERINEURITIS & PERINEURIAL PATHOLOGY | 1C2 Epineuritis & Perineuritis (Case 1) Immune checkpoint VVG 10X 2
This elastin stain demonstrates expansion of the perineuria of multiple fascicles and does not show large vessel vasculitis.
