Table of Contents
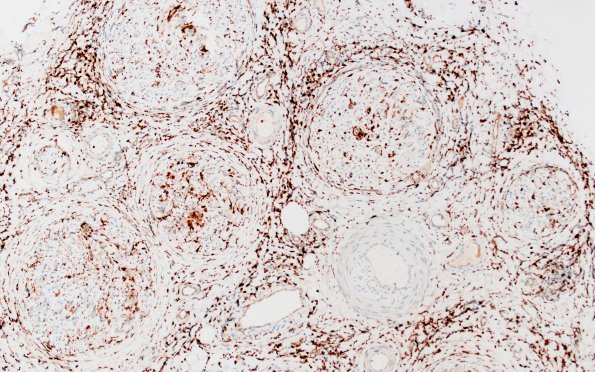
Washington University Experience | PERIPHERAL NEUROPATHY | 9B PERINEURITIS & PERINEURIAL PATHOLOGY | 1D1 Epineuritis & Perineuritis (Case 1) Immune checkpoint CD68 10X
1D1,2 Macrophages are numerous in the epineurium, perineurium and endoneurium but avoid large vessels. (CD68 IHC)
