Table of Contents
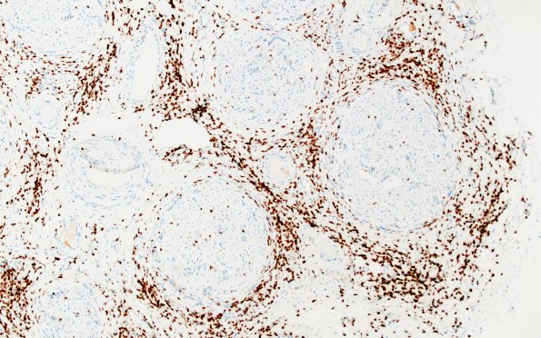
Washington University Experience | PERIPHERAL NEUROPATHY | 9B PERINEURITIS & PERINEURIAL PATHOLOGY | 1E2 Epineuritis & Perineuritis (Case 1) Immune checkpoint CD3 10X
The preponderance of lymphocytes is CD3+ T cells mostly in the epineurium and perineurium avoiding the endoneurium. (CD3 IHC)
