Table of Contents
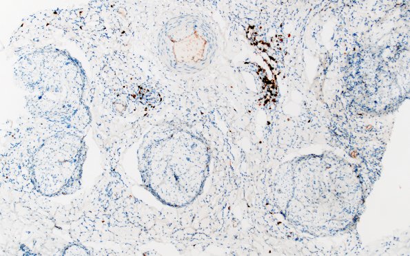
Washington University Experience | PERIPHERAL NEUROPATHY | 9B PERINEURITIS & PERINEURIAL PATHOLOGY | 1F2 Epineuritis & Perineuritis (Case 1) Immune checkpoint CD20 10X
The B cell population is limited and is largely confined to the perivascular region of the epineurium. (CD20 IHC)
