Table of Contents
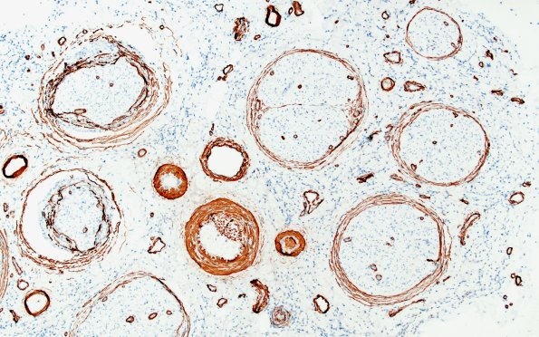
Washington University Experience | PERIPHERAL NEUROPATHY | 9B PERINEURITIS & PERINEURIAL PATHOLOGY | 1G2 Epineuritis & Perineuritis (Case 1) Immune checkpoint SMA 10X
SMA highlights mostly intact vascular walls, albeit with an occasional focus of transmural inflammatory cell infiltrate. It also demonstrates expansion and duplication of perineurial elements. (SMA IHC)
