Table of Contents
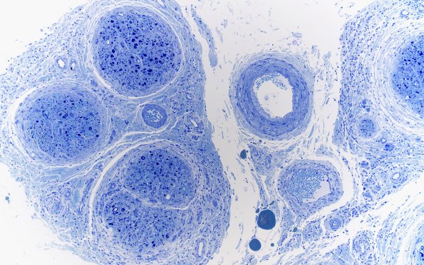
Washington University Experience | PERIPHERAL NEUROPATHY | 9B PERINEURITIS & PERINEURIAL PATHOLOGY | 1H2 Epineuritis & Perineuritis (Case 1) Immune checkpoint Plastic 10X
The perineuritis is substantial and varies somewhat from fascicle to fascicle. (Plastic sections)
