Table of Contents
Washington University Experience | PERIPHERAL NEUROPATHY | 9B PERINEURITIS & PERINEURIAL PATHOLOGY | 1H4 Epineuritis & Perineuritis (Case 1) Immune checkpoint Plastic 20X 3
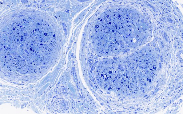
1H4-7 These higher magnification images show the extent of perineuritis and proliferation and separation of perineurial leaflets. There is marked axon loss. (Plastic sections)
