Table of Contents
Washington University Experience | PERIPHERAL NEUROPATHY | 9B PERINEURITIS & PERINEURIAL PATHOLOGY | 2A1 Perineuritis, focal (Case 2) H&E 1
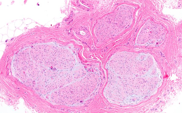
Case 2 History ---- The patient is a 68-year-old man with a history of relapsed B cell ALL, status post dasatinib and sibling matched Allo HSCT, currently on Ponatinib. He recently developed bilateral painful subacute progressive asymmetric lower extremity weakness and numbness. EMG/NCV showed evidence of very severe sensorimotor peripheral polyneuropathy. Operative procedure: Right sural nerve biopsy. ---- 2A1-3 The H&E stained images of the nerve show little inflammation, although the perineurium is thickened around some fascicles. (H&E)
