Table of Contents
Washington University Experience | PERIPHERAL NEUROPATHY | 9B PERINEURITIS & PERINEURIAL PATHOLOGY | 2A3 Perineuritis, focal (Case 2) H&E 5A
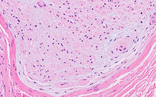
Higher magnification images show marked endoneurial pallor as well as a few Renaut bodies. (H&E)
