Table of Contents
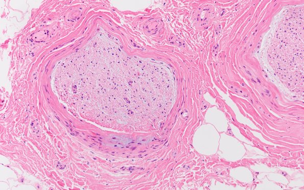
Washington University Experience | PERIPHERAL NEUROPATHY | 9B PERINEURITIS & PERINEURIAL PATHOLOGY | 2A4 Perineuritis, focal (Case 2) H&E 6
One fascicle shows focal expansion of the perineurium and deposition of basophilic material accompanied by a few inflammatory cells. (H&E)
