Table of Contents
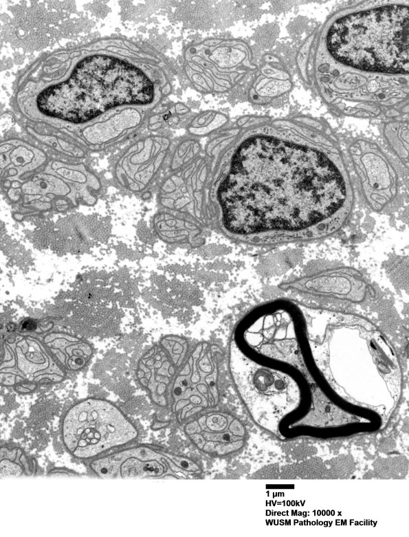
Washington University Experience | PERIPHERAL NEUROPATHY | 9B PERINEURITIS & PERINEURIAL PATHOLOGY | 2C1 W20-8226A (Case 2) EM 034 - Copy
2C1,2 Ultrastructural examination of the nerve shows extensive axon loss. The large pale processes (2C2, arrow) are actually abnormal Schwann cell processes which may mimic demyelinated axons in plastic sections. (electron micrographs)
