Table of Contents
Washington University Experience | PERIPHERAL NEUROPATHY | 9B PERINEURITIS & PERINEURIAL PATHOLOGY | 2D1 W20-8226A (Case 2) EM 030 - Copy
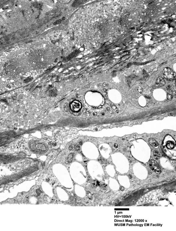
2D1,2 Ultrastructure of the perineurium shows numerous lipid laden macrophages. (electron micrographs)
