Table of Contents
Washington University Experience | PERIPHERAL NEUROPATHY | 9B PERINEURITIS & PERINEURIAL PATHOLOGY | 2D2 W20-8226A (Case 2) EM 028 - Copy
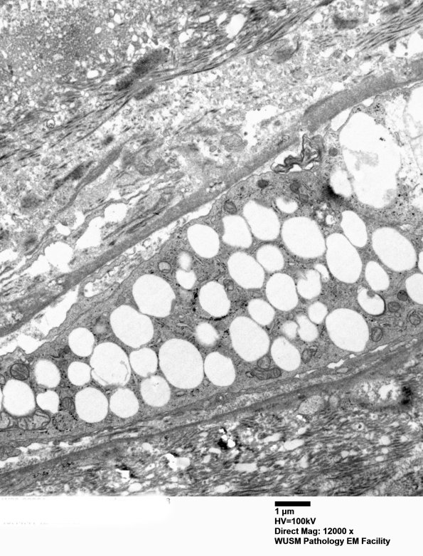
Ultrastructure of the perineurium shows numerous lipid laden macrophages. (electron micrographs)
