Table of Contents
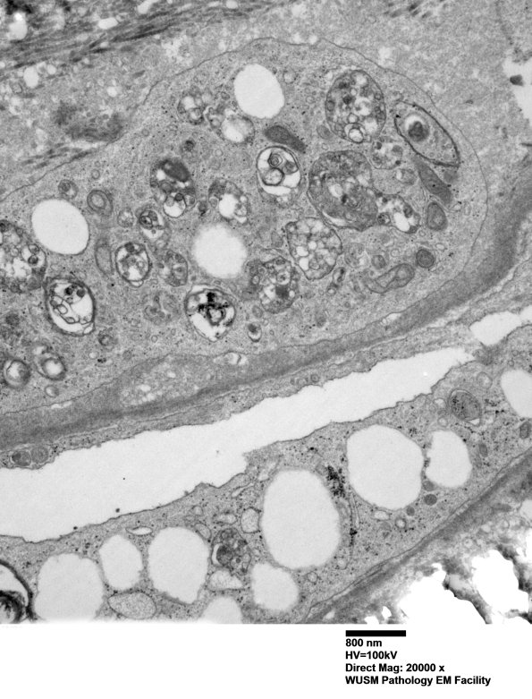
Washington University Experience | PERIPHERAL NEUROPATHY | 9B PERINEURITIS & PERINEURIAL PATHOLOGY | 2D3 W20-8226A (Case 2) EM 031 - Copy
2D3,4 These are most likely autophagic vacuoles in the perineurial interstitium. (electron micrographs)
