Table of Contents
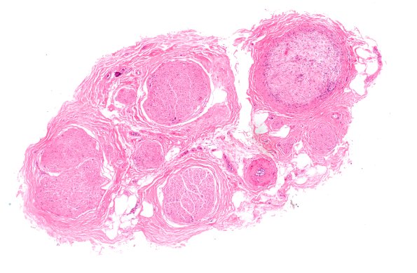
Washington University Experience | PERIPHERAL NEUROPATHY | 9B PERINEURITIS & PERINEURIAL PATHOLOGY | 3A1 Perineurium hyperplasia case (Case 3) H&E 4X 2
Case 3 History ---- The patient is a 61 year old woman with a ten year history of proximal weakness and, more recently, onset of lower extremity numbness. Electrodiagnostic tests suggest a polyneuropathy and a proximal myopathy. Her CK is normal and CSF protein is high. Operative procedure: Left sural nerve and left biceps biopsies. ---- 3A1-3 Routine hematoxylin and eosin stained sections show circumferentially increased perineurial cells. This single fascicle has a thickened hypercellular perineurium and an expanded endoneurium with inflammation and infrequent foamy macrophages within its walls.
