Table of Contents
Washington University Experience | PERIPHERAL NEUROPATHY | 9B PERINEURITIS & PERINEURIAL PATHOLOGY | 3A3 Perineurium hyperplasia case (Case 3) H&E 2
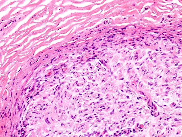
Routine hematoxylin and eosin stained sections show circumferentially increased perineurial cells. This single fascicle has a thickened hypercellular perineurium and an expanded endoneurium with inflammation and infrequent foamy macrophages within its walls.
