Table of Contents
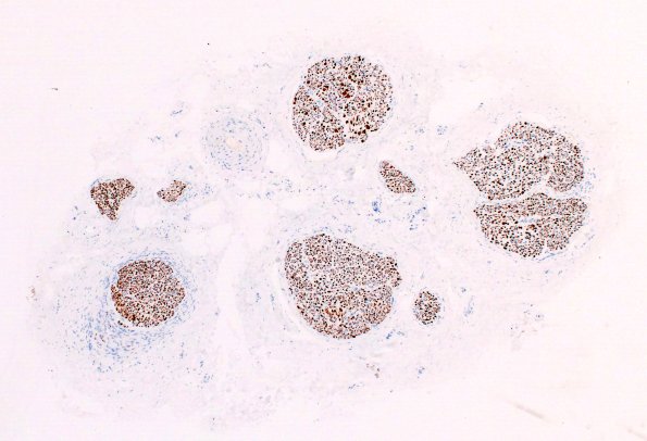
Washington University Experience | PERIPHERAL NEUROPATHY | 9B PERINEURITIS & PERINEURIAL PATHOLOGY | 3B1 Perineurium hyperplasia case (Case 3) NF 4X
3B1,2 Large numbers of axons are demonstrated with neurofilament immunoreactivity, even within the perineuritic fascicle. (NF IHC)
