Table of Contents
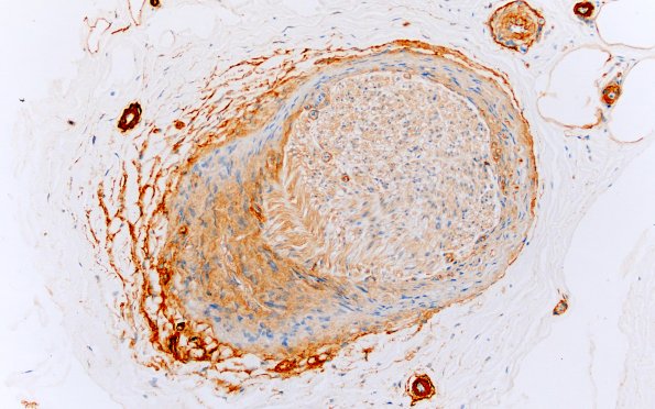
Washington University Experience | PERIPHERAL NEUROPATHY | 9B PERINEURITIS & PERINEURIAL PATHOLOGY | 3D2 Perineurium hyperplasia case (Case 3) Coll IV 20X
This SMA immunostain shows relatively well preserved large vessels and stains the perineuritic fascicle. (SMA IHC)
