Table of Contents
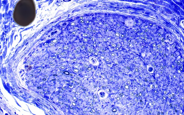
Washington University Experience | PERIPHERAL NEUROPATHY | 9B PERINEURITIS & PERINEURIAL PATHOLOGY | 3E2 Perineurium hyperplasia case (Case 3) Plastic 40X 2
Toluidine-blue stained sections showed mild crush artifact and patchy loss of both large and small axons. Clusters of small axons as well as axons with myelin sheaths which are thin for axonal caliber, both indicative of a cycle of degeneration/regeneration, are present. One fascicle shows nearly complete replacement by thinly myelinated axons.
