Table of Contents
Washington University Experience | PERIPHERAL NEUROPATHY | 9B PERINEURITIS & PERINEURIAL PATHOLOGY | 3E3 Perineurium hyperplasia case (Case 3) Plastic 40X 3
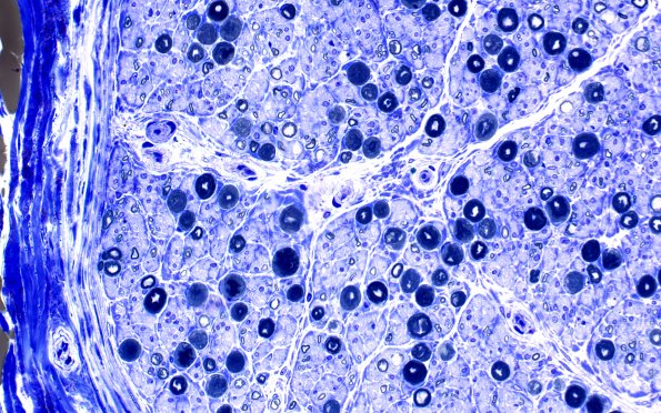
Toluidine-blue stained sections showed mild crush artifact and patchy loss of both large and small axons. Clusters of small axons as well as axons with myelin sheaths which are thin for axonal caliber, both indicative of a cycle of degeneration/regeneration, are present. One fascicle shows nearly complete replacement by thinly myelinated axons. ---- Not shown: CD20 and CD3 show no significant increase in background B-cells or T-cells in the fascicles. CD68 immunoreactivity shows no significant increase in macrophages within the wall of the fascicle with perineurial hyperplasia. ---- Comment: The microscopic findings are those of a neuropathy with moderate patchy loss of large and small axons. The single fascicle undergoing perineurial hyperplasia is very unusual. This fascicle does not exhibit classic perineuritis, in that there is almost no inflammation or macrophage accumulation within the perineurium. We wondered if the patient had previously received steroids but could not find a history of it.
