Table of Contents
Washington University Experience | PERIPHERAL NEUROPATHY | 9B PERINEURITIS & PERINEURIAL PATHOLOGY | 4A1 Perineuritis (Case 4) H&E 3
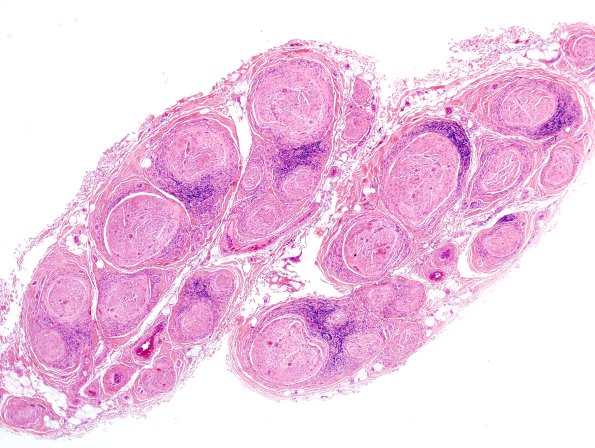
Case 4 History ---- The patient is a 53 year old man with mononeuritis multiplex. Operative procedure: Gastrocnemius and sural nerve biopsies. ---- 4A1-Microscopic examination shows a dense, multifocal inflammatory infiltrate involving the perineurium and perivascular epineurium. The inflammatory cells are predominantly lymphocytes and histiocytes. Small vessel proliferation is noted in the epineurium immediately adjacent to the perineurial pathology. (H&E)
