Table of Contents
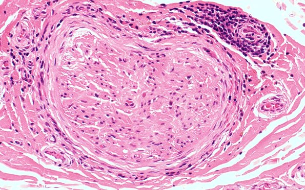
Washington University Experience | PERIPHERAL NEUROPATHY | 9B PERINEURITIS & PERINEURIAL PATHOLOGY | 4A4 Perineuritis (Case 4) H&E 40X 1
The inflammatory infiltrate with perineurial proliferation and epineurial perivascular distribution is shown at various magnifications. (H&E)
