Table of Contents
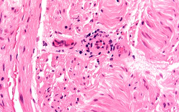
Washington University Experience | PERIPHERAL NEUROPATHY | 9B PERINEURITIS & PERINEURIAL PATHOLOGY | 4A6 Perineuritis (Case 4) H&E 60X 1
Endoneurial inflammation is always abnormal and should be investigated since the differential diagnosis includes a paraneoplastic process. (H&E) ---- Not shown: An AFB stain shows no evidence of acid fast bacilli. A trichrome stain shows no evidence of amyloid deposition. An immunohistochemical stain for CD45 highlights the inflammatory cells. The stain for collagen type IV shows abundant Schwann cell-associated, perivascular and perineurial basement membrane with prominent thickening/reduplication in affected regions of perineurium. Plastic sections show marked loss of large and small myelinated fibers and inflammation. The morphological, cytochemical, and immunohistochemical features are those of an inflammatory neuropathy with prominent perineuritis.
