Table of Contents
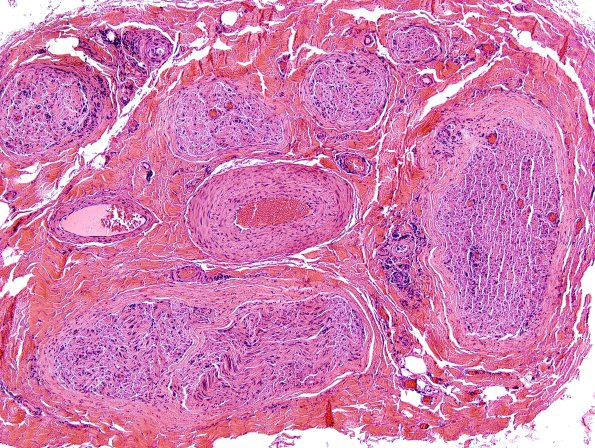
Washington University Experience | PERIPHERAL NEUROPATHY | 9B PERINEURITIS & PERINEURIAL PATHOLOGY | 5A1 Perineuritis (Case 5) H&E 2 A
5A1-3 There is evidence of endoneurial and epineurial vascular inflammation involving many vessels of various sizes in the epineurium and within the endoneurium.
