Table of Contents
Washington University Experience | PERIPHERAL NEUROPATHY | 9B PERINEURITIS & PERINEURIAL PATHOLOGY | 5A2 Perineuritis (Case 5) H&E 1
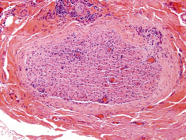
There is evidence of endoneurial and epineurial vascular inflammation involving many vessels of various sizes in the epineurium and within the endoneurium. (H&E)
