Table of Contents
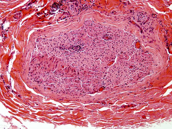
Washington University Experience | PERIPHERAL NEUROPATHY | 9B PERINEURITIS & PERINEURIAL PATHOLOGY | 5A3 Perineuritis (Case 5) H&E 3
There is evidence of endoneurial and epineurial vascular inflammation involving many vessels of various sizes in the epineurium and within the endoneurium. (H&E) ---- Not shown: There is no compelling angionecrosis, confirmed by immunohistochemistry for smooth muscle actin. The inflammatory infiltrate predominantly consists of mature lymphocytes, with populations of CD 3 and CD 20 immunoreactive T and B cells, respectively. The endoneurial microvasculature is thickened; however, a thioflavin S stain is negative for amyloid. A neurofilament stain shows nearly complete loss of axons.
