Table of Contents
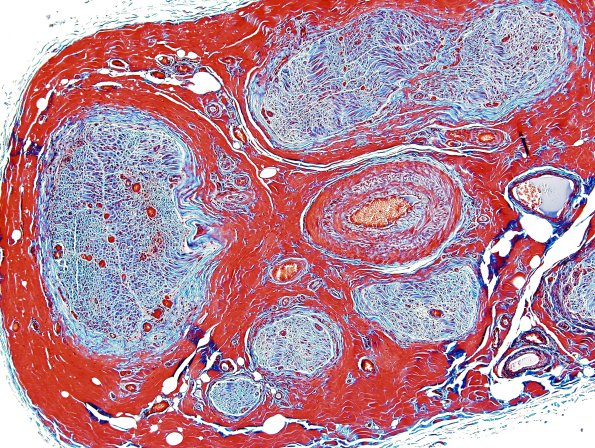
Washington University Experience | PERIPHERAL NEUROPATHY | 9B PERINEURITIS & PERINEURIAL PATHOLOGY | 5B Perineuritis (Case 5) Trichrome
The perineurium shows both inflammation and increased fibrous tissue, demonstrated well with a trichrome stain for collagen which also shows increased subperineurial and endoneurial connective tissue. One large vessel contains mostly symmetrical collagen deposition, suggesting previous vasculitis/vasculopathy.
