Table of Contents
« prev
next »
Washington University Experience
|
PERIPHERAL NEUROPATHY
|
9B PERINEURITIS & PERINEURIAL PATHOLOGY
|
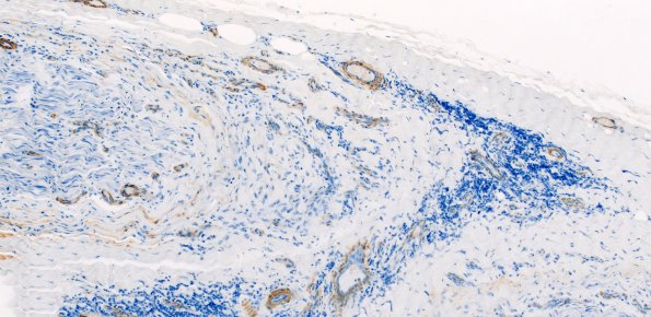
5C3 Perineuritis (Case 5) SMA 10X
This SMA immunostain fails to show damage to most vessel walls. (SMA IHC)
Image Info
Camera Maker:
Olympus
Camera Model:
DP74
Shutter Speed:
14/27451 sec
Metering Mode:
Multi-Spot
Gallery RSS
|
Archive View
|
Login
|
Powered by
Zenphoto