Table of Contents
Washington University Experience | PERIPHERAL NEUROPATHY | 9B PERINEURITIS & PERINEURIAL PATHOLOGY | 5D1 Perineuritis (Case 5) Plastic 6
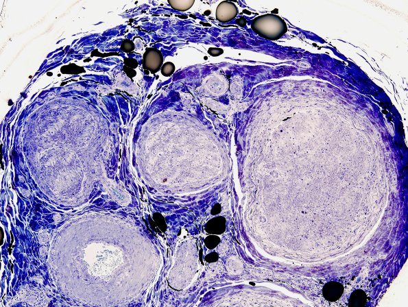
These higher magnification images show the extent of perineuritis and proliferation and separation of perineurial leaflets. There is marked axon loss. (Plastic sections)
